

こんなお悩み
ありませんか?
ホワイトスポットは多くの歯科医院では、「削って詰めるか被せるしかない」
「歯が弱っているから、フッ素を塗っておきましょう」「どうしようもありません」と言われがちですが、
適切な診断と治療で改善することができます!
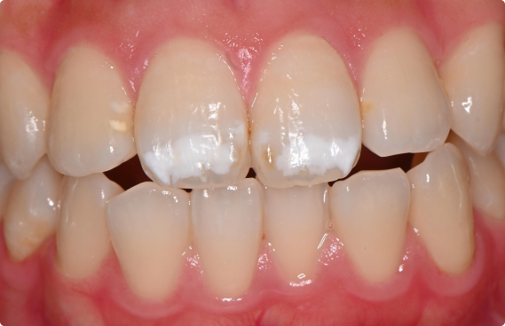
前歯の白い斑点が
気になる
鏡を見るたびに白い斑点が目に入り、笑顔に自信が持てない。人前で話すのも気が引けてしまう。
ホワイトニングや
フッ素塗布では改善しない
今まで歯科医院でホワイトニングやフッ素塗布を行い、改善を期待したが、白い斑点は消えない。根本的な解決にならなかった。
歯を削りたくない
他の歯科医院で「削るしかない」と言われたが、健康な歯を削りたくない。
治療法が分からない
どこで治療できるのか、どんな方法があるのか情報が少なく、諦めかけている。
京都市北区の柏井歯科矯正歯科に
お任せください!
京都だけでなく、関西圏全域でホワイトスポットでお悩みだった患者様の治療を対応してきました。
歯の白いシミ、白い斑点は当院へご相談ください!

気になる
ホワイトスポットの原因
そもそも「ホワイトスポット」ってなに?
白い斑点の正体を知ることが、
適切な治療への第一歩です。
歯のエナメル質の
形成不全
永久歯が形成される時期に何らかの影響を受けた結果、生えてきた永久歯に白い斑点や模様、稀に茶色味の様相を呈することもあります。原因としては、乳歯の外傷やむし歯、ある特定の内服薬の作用などが挙げられますが、はっきりとした原因が特定できないこともあります。
でも、なぜホワイトニングでは消えないのか?
一般的なホワイトニングは、歯全体の色を明るくする方法です。
しかし、ホワイトスポットは歯のエナメル質自体の形成不全が問題であるため、ホワイトニングで漂白をしても根本的な治療にはなりません。
「全体的に前歯は白くキレイになったが、白い斑点・シミは変わらなかった」という状況になります。

ホワイトスポットを改善させる
アイコン(Icon)治療
01
歯を一切削らない治療
アイコン治療は、歯を削ることなく、歯のエナメル質形成不全層に専用の低粘度樹脂を浸透させる方法です。健全な歯を一切削らないのが特徴の治療方法です。
02
短い時間で処置が終わる
1本あたりおおよそ20〜30分程度で行われることが多く、当院では全てのホワイトスポット症例において、治療が複数回に渡ることは無く、治療自体は1回で済みます。長期間にわたる治療や複数回の通院が不要なため、遠方の方やご多忙の方でも少ない負担で出来る治療法です。
03
治療後の特別なケアは不要
アイコン(Icon)治療後は、特別なセルフケア、通院が必要になることは基本的にありません。
普段どおりの歯みがきと、お近くの歯科医院での定期的な検診を続けていただくだけで問題ありません。

気になる
アイコン治療の流れ
STEP01
診査・診断
STEP02
表面処理
STEP03
特殊樹脂の浸透
STEP04
光照射で硬化
STEP05
仕上げ研磨
STEP06
完了

治療症例
治療に関する注意事項
- ホワイトスポットの状態により、アイコン治療の適応外の場合があります
- 治療効果には個人差があります
- 経年変化や嗜好性の飲食物、セルフケア不足による着色や色味の変化が生じる場合があります
院長紹介
院長
柏井 桂
豊富な経験と専門性で、
安心・安全な治療を
ご提供します
ホワイトスポットは決して珍しい症状ではありません。しかし、多くの歯科医院では「削るしかない」「放置するしかない」と言われてしまうのが現状です。
京都府内でも対応している医院が少ないホワイトスポット治療。診断から治療まで一貫して対応できる専門性が、大阪府、滋賀県や福井県からからの患者様にもお選びいただく理由です。
当院では、歯を削らない「アイコン治療」により、患者様の天然歯を最大限保護しながら、見た目のお悩みを解決いたします。まずは無料カウンセリングで、お気軽にご相談ください。
出身
- 京都府京都市 出身
略歴
- 2003年 京都市立堀川高校 自然探求科 卒業
- 2010年 広島大学 歯学部歯学科 卒業
- 2011年 広島大学病院 研修医 修了
- 2017年 広島大学大学院 歯周病態学 退局
- 2017年 一般歯科医院にて勤務
資格
- 歯学博士
- 日本歯周病学会 認定医
所属学会
- 日本歯周病学会

料金案内
アイコン(Icon)治療費
- 無料カウンセリング
- ¥0
- 1本目
- ¥33,000
- 2本目以降(同日治療)
- ¥22,000

まずは無料カウンセリングから
そもそもホワイトスポットなのか、
アイコン治療の適応があるのか、
診断を受けてみませんか?
詳細な診査・診断
ホワイトスポットの原因と
状態を正確に把握
治療計画のご提案
患者様に最適な
治療法をご提案
費用のご説明
明確な料金体系で
安心